
Cardiotorax Durango: ciencia, pasión y experiencia
En el ámbito de la especialidad de la cirugía cardiotorácica está la atención médico-quirúrgica de las enfermedades de la pared torácica de la pleura, de cavidad pleural, de los pulmones, del mediastino y del diafragma. En esta ocasión nos referiremos a las afecciones más frecuentes de estas áreas de atención médico-quirúrgica
¿Cuáles son las enfermedades o afecciones más frecuentes de la pared torácica?
Hoy en día las afecciones que atendemos de forma más frecuente son las relacionadas a accidentes que lesionan la pared del tórax, denominado trauma torácico, el cual puede ser cerrado, es decir cuando son golpes que no penetran la cavidad torácica, o puede ser penetrante cuando es una lesión que rompe la pared del tórax ya sea por un objeto o arma punzo-cortante o por un proyectil de cualquier tipo.
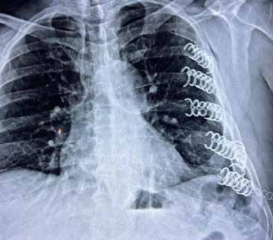
En nuestro medio, desafortunadamente, es cada día más frecuente el trauma cerrado de tórax relacionado a accidentes por vehículos de motor y en segundo lugar los relacionados a caídas. En estas situaciones son frecuentes las fracturas costales, el colapso pulmonar, llamado neumotórax y el derrame pleural, llamado hemotórax.
En estas situaciones los que se requiere dependiendo de la gravedad de la situación es drenar la cavidad pleural del aire o líquido que se acumula por el golpe y en caso de presentar fracturas costales, fijarlas con clips de titanio diseñados para que la fractura sane más rápido y con menos dolor.
En relación a las enfermedades de la cavidad pleural, ¿cuáles son las que requieren de cirugía?
Bien, las enfermedades que requieren de nuestra atención, son los derrames pleurales, que pueden ser de diferentes orígenes.
Ya anteriormente mencionamos los derrames relacionados a traumatismos (golpes) que suelen presentarse en forma inmediata al golpe, sin embargo, hay otro tipo de derrames que están relacionados a procesos infecciosos pulmonares (neumonías) o bien a procesos malignos del pulmón, de la pleura o del mediastino.
En ambas circunstancias tenemos varias opciones de tratamiento dependiendo del tiempo de evolución, de las características del derrame y de la sospecha clínica del probable origen de este.
Así tenemos desde la punción pare drenar el derrame (toracocentesis), el drenaje con una sonda que se inserta en el tórax para drenar, o bien drenaje por videotoracoscopía (cirugía de mínima invasión) y en casos más complejos se requiere de drenaje quirúrgico abierto que se llama toracotomía.
En el caso de sospecha de lesiones malignas (cáncer) se toman las biopsias necesarias, así como la instalación de sustancias para minimizar la formación de derrame pleural (pleurodesis).

De las enfermedades pulmonares que requieren cirugía, ¿cuáles son los diagnósticos más frecuentes?
Los pulmones son susceptibles de enfermar por diferentes causas. Algunas relacionadas con los hábitos de los pacientes como el tabaquismo y otras relacionadas a la exposición laboral, como lo es el caso de las personas que trabajan con derivados de asbesto y exposición a químicos o incluso por el lugar donde viven, por ejemplo, por convivir con palomas que predisponen a infecciones pulmonares por hongos.
Y finalmente algunas complicaciones de infecciones pulmonares como la tuberculosis, que afortunadamente hoy en día son poco frecuentes. En todas estas situaciones el pulmón puede presentar lesiones inflamatorias, nodulaciones, tumoraciones o formación de cavidades pulmonares, las cuales requieren de resección y/o biopsia para valorar el tratamiento a seguir.
En estos casos igualmente de acuerdo con el caso puede tratarse por videotoracoscopía o por toracotomía.
¿Qué es mediastino y que enfermedades se pueden presentar que requieran de atención de su especialidad?
El mediastino es la parte del tórax que se encuentra en la parte central del tórax, es decir, entre los dos pulmones. Aquí se alojan diferentes estructuras como el corazón y los grandes vasos que de él emergen, así como la tráquea y su división en bronquios derecho e izquierdo (son los tubos que llevan el aire a los pulmones), así como otros tejidos blandos que se pueden ver afectados por la formación de tumoraciones benignas o malignas principalmente.
Sin embargo, este espacio anatómico también se puede ver afectado por infecciones del cuello que descienden al tórax, ocasionando una infección de este, que se denomina mediastinitis, situación grave, que requiere de drenaje quirúrgico urgente.
Tanto las lesiones tumorales como las infecciosas pueden abordarse por videotoracoscopía, toracotomía o estereotomía, dependiendo del nivel y grado de afección.

Finalmente, ¿el diafragma qué es y que situaciones clínicas se pueden presentar?
El diafragma es el musculo que divide el tórax del abdomen, que además tiene función fisiología en la respiración. Hay dos situaciones clínicas de diferente origen que requieren un tratamiento quirúrgico similar, pero de diferente prioridad.
Estas son las hernias diafragmáticas las cuales pueden ser congénitas o adquiridas. Las congénitas son raras y se manifiestan desde el nacimiento.
Las adquiridas están relacionadas a traumatismos cerrados del tórax de alta intensidad, generalmente del lado izquierdo, lo cual favorece la migración de las vísceras del abdomen (estomago, colon) hacia el tórax y que requiere de reparación urgente para reparación del defecto.

¿TE INTERESA PUBLICARTE EN LA GUÍA MÉDICA?
Llámanos y un asesor te brindará la información necesaria para formar parte de nuestra próxima edición.
Da clic aquí y ponte en contacto con nosotros, o bien, llámanos al número 8 13 70 80.