
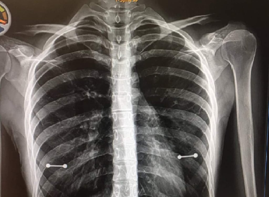
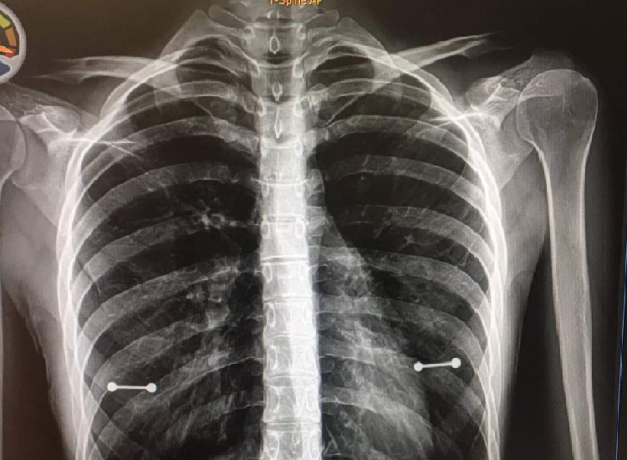
Se entera del secreto de su hija por unos rayos X
Una madre en Florida, Estados Unidos, se enteró de que su hija tiene piercings gracias a unas imágenes de rayos X.
La chica, Sydney Allen, de 20 años, padece siringomielia, un trastorno dentro de la médula espinal. Acudió con su madre a una revisión médica de rutina, donde la sacaron unos rayos X, que revelaron que Sydney tiene piercings en los pezones, informa el diario Mirror.
My mom found out I got my nipples pierced today pic.twitter.com/BCRE1dz68f
— Syd (@Sydney_allenn) 23 de octubre de 2018
La joven se los hizo el verano pasado, con ayuda de su hermana, pensando que podía mantenerlo en secreto. Hasta ahora.
"Mi mamá vio mis piercings tan pronto como aparecieron los rayos X y el doctor y yo nos echamos a reír histéricamente. Estaba visiblemente molesta. Como no suelo quitarme la camisa, pensé que sería un secreto muy fácil de guardar”, confiesa la chica al sitio Buzzfeed.
DA.